The Unusual Chance Fracture: Case Report & Literature Review

August 2013

The Chance fracture represents a spinal lesion caused by a flexion-distraction injury pattern. We describe a rare case of a male driver admitted at the Emergencies of our Institution, level A Trauma center. The was involved in an automobile accident without wearing a seatbelt. Radiological findings of plain radiography and computed tomography (CT) demonstrated a horizontal fracture extending across the vertebral body to the posterior elements with loss of vertebral height at the anterior aspect of T12. Based on these findings, the diagnosis of a T12 Chance fracture was established. The patient was treated conservatively with a thoracolumbar orthosis, without any subsequent disabilities. Although Chance fractures are rare lesions, they should always be considered in spinal injuries, even in cases of motor-vehicle accidents where no seatbelt is used.

Figures – uploaded by Dimitrios Stergios Evangelopoulos
Content may be subject to copyright.


See discussions, stats, and author profiles for this publication at: https://www.researchgate.net/publication/256470695

The Unusual Chance Fracture: Case Report & Literature Review

Article in The Open Orthopaedics Journal · August 2013

DOI: 10.2174/1874325001307010301 · Source: PubMed

5 authors, including:

Orestis Karargyris

Lambros Giuseppe Morassi

University Hospitals Sussex NHS Foundation Trust

Christos Zafeiris

National and Kapodistrian University of Athens

Dimitrios Stergios Evangelopoulos

National and Kapodistrian University of Athens

Send Orders for Reprints to reprints@benthamscience.net

The Open Orthopaedics Journal, 2013, 7, 301-303 301

Open Access

The Unusual Chance Fracture: Case Report & Literature Review

O. Karargyris, L.G. Morassi, C. Zafeiris, D.S. Evangelopoulos* and S.G. Pneumaticos

3rd Department of Orthopaedic Surgery, University of Athens, KAT Hospital, Athens, Greece

Abstract: The Chance fracture represents a spinal lesion caused by a flexion-distraction injury pattern. We describe a rare case of a male driver admitted at the Emergencies of our Institution, level A Trauma center. The was involved in an automobile accident without wearing a seatbelt. Radiological findings of plain radiography and computed tomography (CT) demonstrated a horizontal fracture extending across the vertebral body to the posterior elements with loss of vertebral height at the anterior aspect of T12. Based on these findings, the diagnosis of a T12 Chance fracture was established. The patient was treated conservatively with a thoracolumbar orthosis, without any subsequent disabilities. Although Chance fractures are rare lesions, they should always be considered in spinal injuries, even in cases of motor-vehicle accidents where no seatbelt is used.

Keywords: Chance fracture, seatbelt injury, thoracic spine.

CASE REPORT

A 30-year-old male was involved in an automobile accident. He was at the driver’s seat and did not wear a seatbelt. During admission, his primary complain was back pain.

Upon admission, palpation revealed tenderness at the thoracolumbar region. His neurologic examination was normal with no motor or sensory deficit of the lower and upper limbs. Ultrasonography was performed to exclude blunt abdominal concomitant injuries. Simple radiographic evaluation of the cervical spine, thorax and pelvis did not demonstrate associated injuries. Radiographs (Figs. 1, 2) and CT scans (Fig. 3) of the thoracolumbar spine revealed a transverse fracture at the level of T12. The CT scan further demonstrated a split of the posterior elements, progressing anteriorly into the vertebral body. Conservative treatment was decided and the patient, following an initial period of bed rest, was mobilized wearing a thoracolumbar orthosis. Appropriate antithrombotic prophylaxis with low molecular weight heparin was administered, until full ambulation was achieved. The patient was followed up with serial thoracolumbar radiographs for the first 6 weeks of ambulation and later on, in one month intervals. The thoracolumbar orthosis was applied for three months. At the 5th month follow-up, he was pain free with radiographic signs of mild vertebral kyphosis. Upon completion of treatment, he returned successfully to pre-injury levels of daily activity, without any impairment.

DISCUSSION

Transverse fractures of the vertebra are described as Chance fractures [1]. The proposed mechanism involves a hyperflexion injury. Such fractures have been reported in

*Address correspondence to this author at the 3rd Department of Orthopaedic Surgery, University of Athens, KAT Hospital, 2 Nikis street, Kifissia, Athens, Greece; Tel/Fax: +302106280890;

E-mail: ds.evangelopoulos@gmail.com

adults and very rarely in children and are associated with motor vehicle injuries where a lap type seatbelt is worn [2-5]. However, this case reports a 30 year old male, involved in a high velocity motor vehicle accident, sustaining a Chance fracture of the thoracic spine in a hyperflexion type of injury, without wearing a seatbelt.

άγνωστο.jpeg

Fig. (1). Lateral radiograph demonstrating a T12 transverse fracture.

1874-3250/13 2013 Bentham Open

302 The Open Orthopaedics Journal, 2013, Volume 7 Karargyris et al.

άγνωστο_1.jpeg

the Chance fracture. Several authors have reported on lumbar Chance fractures associated with lap type seat-belts [5-7]. The proposed mechanism of injury is the deceleration which occurs in an automobile crash or a fall. During hyperflexion of the spine over a fulcrum, all spinal components are subjected to tension stress. This results either in the disruption of ligaments and posterior elements or in a combination of bony and soft tissue (ligament, and disc) injury [8,9]. Usually, Chance fractures are located at the thoracolumbar junction (T10-L2) in adults or at the lumbar spine in children [10]. However, very rarely, Chance fractures of the body of the axis have also been reported in the literature [11]. The fracture line propagates from the spinous process posteriorly throughout the lamina, pedicles, and vertebral body anteriorly.

Diagnosis is best set on good quality radiographs obtained in 2 planes (anteroposterior and lateral). As soon as the fracture pattern is recognized, appropriate reduction and immobilization usually results in a good clinical outcome. Associated intra-abdominal injuries are frequent, especially in the pediatric population [4-7]. Thus, apart from spinal trauma, intra-abdominal trauma should always be excluded at the time of admittance. If left untreated, a Chance injury may result in progressive kyphosis with subsequent chronic pain and deformity [10]. Chance fractures may generally be

Fig. (2). Anteroposterior (AP) radiograph demonstrating increased interspinous distance at the level of injury.

άγνωστο_2.jpeg

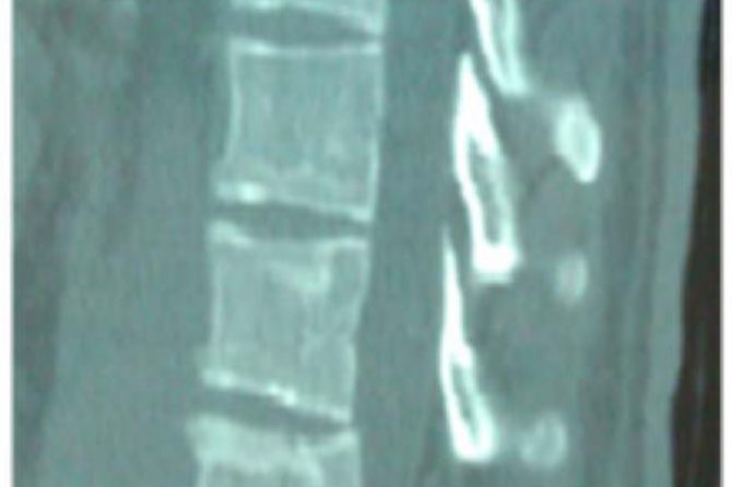
Fig. (3). CT scan – sagittal plane, demonstrating the same T12 fracture shown in the radiographs.

The Chance fracture consists of a horizontal splitting of the spine and the neural arch of vertebra, propagating from the posterior spinal elements to the anterior vertebral body, with no lateral displacement or rotation of the fracture fragments [2,3]. Flexion-distraction forces generated by hyperflexion of the spine over a fulcrum are responsible for

managed by closed reduction and immobilization in a thoracolumbosacral orthosis (TLSO) or hyperextension cast. With early recognition and management, healing can be expected in a near-anatomic reduction. After 3 months of immobilization, a rehabilitation program aiming on muscle strengthening can assist the return to preinjury activity levels. The final results may not be determined for as long as one year postinjury, with the major complaint being chronic back pain [12]. Surgery may be indicated for patients with multiple injuries or patients whose size makes closed treatment impractical (large body habitus). In those cases, a posterior approach to reconstruct the posterior tension band is preferred. The same operative approach may be used with ligamentous patterns of injury. Realignment of the spine is the goal of the surgical treatment, which is followed by stabilization and arthrodesis.

There are few reported cases of patients sustaining a Chance fracture without the involvement of a seat belt mechanism [13-16]. In this case, there was no history or evidence of an object acting as a fulcrum. However, radiological evidence was indicative of failure of the T12 vertebra in tension. The mechanism of injury appears to be acute hyperflexion of the spine that occurred when the vehicle decelerated abruptly.

CONCLUSION

The absence of seatbelt use should not falsely lead the examining physician to the assumption that a Chance fracture can be ruled out of diagnosis. A high index of suspicion based on the circumstances of the accident, may aid in the recognition of a Chance fracture. Lateral radiographs, and AP radiographs of the spine will confirm the diagnosis. Treatment options include closed reduction and immobilization with an orthosis, or open reduction and spinal fusion in those cases where conservative treatment is not possible.

The Unusual Chance Fracture: Case Report & Literature Review The Open Orthopaedics Journal, 2013, Volume 7 303

CONFLICT OF INTEREST

The authors confirm that this article content has no conflict of interest.

ACKNOWLEDGEMENTS

Declared none.

REFERENCES

  1. Chance GQ. Note on a type of flexion fracture of the spine. Br J Radiol 1948; 21(249): 452.
  2. Blasier RD, LaMont RL. Chance fracture in a child: a case report with nonoperative treatment. J Pediatr Orthop 1985; 5(1): 92-93.
  3. Horal J, Nachemson A, Scheller S. Clinical and radiological long term follow-up of ventebral fractures in children. Acta Orthop Scand 1972; 43(6): 491-503.
  4. Rogers LF. The roentgenographic appearance of transverse or chance fractures of the spine: the seat belt fracture. Am J Roentgenol Radium Ther Nucl Med 1971; 111(4): 844-9.
  5. Smith WS, Kaufer H. Patterns and mechanisms of lumbar injuries associated with lap seat belts. J Bone Joint Surg Am 1969; 51(2): 239-54.
  6. Howland WJ, Curry JL, Buffington CB. Fulcrum Fractures of the Lumbar Spine. Transverse Fracture Induced by an Improperly Placed Seat Belt. JAMA 1965; 193: 240-1.
  7. Hubbard DD. Injuries of the spine in children and adolescents. Clin Orthop Relat Res 1974; 100: 56-65.
  8. Ragel BT, Allred CD, Brevard S, Davis RT, Frank EH. Fractures of the thoracolumbar spine sustained by soldiers in vehicles attacked by improvised explosive devices. Spine (Phila Pa 1976) 2009; 34(22): 2400-5.
  9. Triantafyllou SJ, Gertzbein SD. Flexion distraction injuries of the thoracolumbar spine: a review. Orthopedics 1992; 15(3): 357-64.
  10. Gordon ZL, Gillespie RJ, Ponsky TA, Barksdale EM, Jr., Thompson GH. Three siblings with Chance fractures: the importance of 3-point restraints. J Pediatr Orthop 2009; 29(8): 856-9.
  11. Korres DS, Papagelopoulos PJ, Mavrogenis AF, Benetos IS, Kyriazopoulos P, Psycharis I. Chance-type fractures of the axis. Spine (Phila Pa 1976) 2005; 30(17): E517-20.
  12. Mulpuri K, Jawadi A, Perdios A, Choit RL, Tredwell SJ, Reilly CW. Outcome analysis of chance fractures of the skeletally immature spine. Spine (Phila Pa 1976) 2007; 32(24): E702-7.
  13. Hakozaki M, Otani K, Kikuchi S, Konno S. Chance fracture of the lumbar spine in an amateur snowboarder: a case report. J Sports Med Phys Fitness 2010; 50(2): 214-6.
  14. Hall HE, Robertson WW Jr. Another chance: a non-seatbelt related fracture of the lumbar spine. J Trauma 1985; 25(12): 1163-6.
  15. Knapp JF, Harakas AP, Edwards RK, Sarwark JF. Unusual mechanism of Chance fracture in an adolescent. Pediatr Emerg Care 1987; 3(4): 256-7.
  16. Todkar M. Unusual mechanism of Chance fracture in an adult. Acta Orthop Belg 2005; 71(5): 628-9.

Received: March 9, 2013 Revised: June 3, 2013 Accepted: June 9, 2013

© Karargyris et al.; Licensee Bentham Open.

This is an open access article licensed under the terms of the Creative Commons Attribution Non-Commercial License (http://creativecommons.org/licenses/by-nc/3.0/) which permits unrestricted, non-commercial use, distribution and reproduction in any medium, provided the work is properly cited.

View publication stats

Leave a reply